眼睛是人体最脆弱的器官之一异物入眼
决不能掉以轻心
前段时间
竹溪县一老人务农时不小心异物“穿眼”,眼角渗血差点被摘掉眼球......
NEXT
异物“穿眼”感染高龄老人险些眼球不保
家住竹溪县的刘大爷(化姓)今年77岁,三个月前他在田里务农时,突然感觉左眼被什么东西“打”了一下,疼痛难忍。
刘大爷在家人陪同下到当地医院检查得知,他的左眼里有一块铁质异物,角膜、晶状体、玻璃体、视网膜等眼部组织扎穿损伤。更糟糕的是,铁质异物在眼内氧化对视网膜造成毒性作用,同时带入的微生物引起眼内感染。为防止病情进一步恶化,医生建议刘大爷摘除左眼眼球。
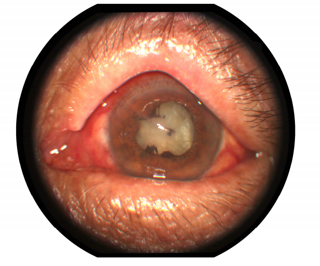
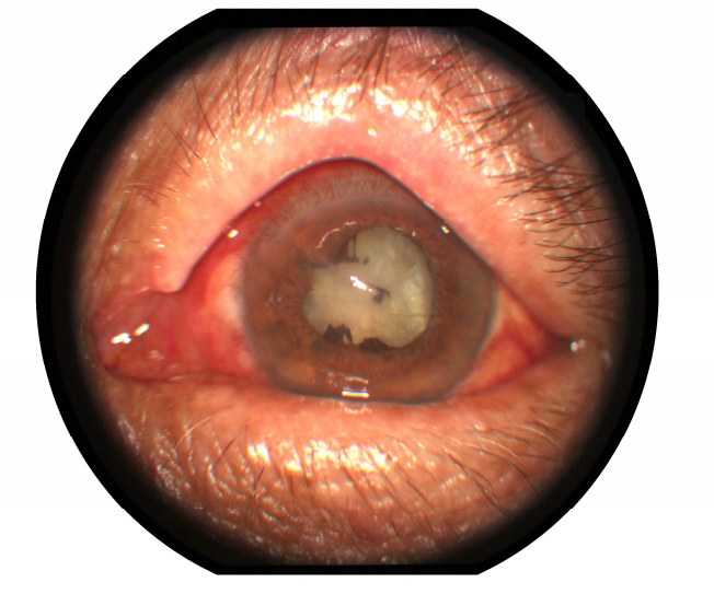
图片可能引发不适请向上滑动谨慎查看↓

刘大爷左眼检查结果影像
“要直接摘掉眼球,我实在无法接受。”心急如焚的刘大爷打算去十堰市人民医院眼科试试。到达科室时,刘大爷的左眼还在缓缓渗着血水。经检查他的左眼完全感觉不到光线,并且眼内炎症严重,已经化脓。“泥土里存在很多细菌,附着在锄头上,又随着铁屑被带入患者的眼睛。”十堰市人民医院眼科Ⅱ病区主任柯峰针对刘大爷的病情分析道。

术前眼眶CT,可见金属异物正位于患者左眼视网膜上,情况十分凶险。
柯峰说,患者就诊时间虽与受伤时间相隔不长,但由于感染眼内组织结构已遭到严重破坏。目前手术治疗主要是为他保住眼球,但恢复视力的希望较渺茫。

为避免感染进一步加剧,柯峰当即为他进行了微创玻璃体切割+白内障摘除(外伤性白内障) +眼内异物取出+瞳孔成形+硅油填充+视网膜光凝手术。最终,在刘大爷左眼取出了一块约5mm*4mm的生锈铁器。

刘大爷左眼取出的金属异物通过手术,刘大爷的左眼球得以保留。经全面康复治疗,如今刘大爷左眼球不仅保住了,还有部分视功能。

近日刘大爷来院进行复查
俗话说“眼睛里揉不得沙子”
可见眼睛敏感脆弱容不得半点伤害十堰有位小伙
因眼里进异物差点失明
NEXT
铁屑飞入左眼
小伙险些失明
“多亏您为我保住了左眼,不然我真不知道往后的日子怎么过!”近日,十堰小伙赵先生(化姓)亲手把绣着“妙手回春还光明 德艺双馨传四方”的锦旗,送到十堰市人民医院眼科Ⅱ病区主任柯峰手里,喜悦感激之情溢于言表。

赵先生今年35岁,前不久他在工厂车间工作时,突然感觉有不明物体飞入左眼。一开始不怎么疼,以为只是灰尘迷了眼,就没当回事。可没想到第二天他的左眼视力骤然下降,视物模糊。惊慌之下,赵先生赶快来到十堰市人民医院就诊。
眼科Ⅱ病区主任柯峰经检查发现,赵先生左眼角膜遭受穿通伤,异物穿过晶状体落在视网膜上,已造成外伤性白内障和视网膜损伤。更危急的是,金属异物长时间滞留眼内易诱发眼铁锈症,对眼内组织具有极强破坏性,很有可能导致失明,后果十分严重。

由于患者晶状体变得浑浊,视网膜情况无法查清。柯峰决定先为其实施白内障手术,采用超声乳化术为其摘除浑浊的晶状体,切除玻璃体,小心分离异物周围视网膜等组织。最后顺利从眼球内取出大小5mm*2mm的铁质异物。近1小时手术后,眼科Ⅱ病区柯峰团队如释重负地长出一口气——手术过程精准顺利,未对视网膜造成多余损伤。术后经康复治疗,赵先生出院前左眼矫正视力0.7,重新收获了光明。

柯峰建议从事特殊工种的朋友工作时应佩戴好护目镜等保护用品如果有异物进入眼睛要及时到有资质的医疗机构进行正规处理切勿揉搓以免异物擦伤眼球或陷进组织造成不可逆转的视力损伤

团队介绍


十堰市人民医院眼科是湖北省省级临床重点专科,眼科Ⅱ病区紧跟医院高质量技术为发展思路,建立特色性高质量技术团队。目前科室常规开展有眼底病、复杂性眼外伤、眼眶及眼肿瘤、白内障、青光眼、角膜病、斜弱视、眼整形与美容等诊疗项目。主要特色专科技术包括:眼眶眼肿瘤、微创玻璃体手术、屈光白内障、复杂性斜弱视、复杂性眼外伤及各种眼局部整形美容等手术。
门诊地址:十堰市人民医院门诊大厅一楼眼科中心门诊咨询电话:0719-8637848






